Top.Mail.Ru
krsk@dia-m.ru 8 (800) 234-05-08
+7 (923) 303-01-52
Ваш регион Москва?
Химические реактивы - буква «»

Антитела первичные неконъюгированные

Исключительность реагентов Abcam — высокое стабильное качество и всесторонняя техническая и консультационная поддержка пользователя. Abcam — это более 450 000 продуктов! Поставки дважды в месяц с соблюдением температурного режима транспортировки. Система AbPromise гарантирует качество в течение 6 месяцев после поставки. Используя систему AbReviews, каждый пользователь продукции Abcam может поделиться результатами использования продукта. Также Abcam регулярно проводит бесплатные вебинары.
Каталоги, статьи, видео
Фильтр
Все производители
Все категории
Тип
Фильтр
Доступность
  • На складе
  • В транзите и на складе
  • Все товары
A19949.20ul
20 мкл
A19949.50ul
50 мкл
A19949.100ul
100 мкл
A19949.200ul
500 мкл

Этот ген кодирует белок суперсемейства переносчиков АТФ-связывающей кассеты (ABC). АТФ-связывающие кассетные белки транспортируют различные молекулы через вне- и внутриклеточные мембраны. Изменения в этом гене могут быть связаны с прогрессированием рака. Альтернативный сплайсинг приводит к множественным вариантам транскриптов. Родственные псевдогены были идентифицированы на хромосомах 3 и 7.

Характеристики антител ABCF2

  • Видовая специфичность – человек, мышь;
  • применение – WB, IHC, IF;
  • условия транспортировки, °C – +2-8;
  • условия хранения, °C – - 20 (в виде аликвот).
Вестерн-блот-анализ экстрактов нормальных (контрольных) и нокаутных по ABCF2 клеток 293T с использованием антитела ABCF2 (A19949) в разведении 1:1000. Вторичное антитело: HRP Goat Anti-Rabbit IgG (H+L) (AS014) в разведении 1:10000. Лизаты/белки: 25 мкг на дорожку. Блокирующий буфер: 3% обезжиренное сухое молоко в TBST. Время экспозиции: 3 с.

Вестерн-блот-анализ экстрактов нормальных (контрольных) и нокаутных по ABCF2 клеток 293T с использованием антитела ABCF2 (A19949) в разведении 1:1000.

Вторичное антитело: HRP Goat Anti-Rabbit IgG (H+L) (AS014) в разведении 1:10000.

Лизаты/белки: 25 мкг на дорожку.

Блокирующий буфер: 3% обезжиренное сухое молоко в TBST.

Время экспозиции: 3 с.

A19950.20ul
20 мкл
A19950.50ul
50 мкл
A19950.100ul
100 мкл
A19950.200ul
200 мкл

Этот ген кодирует белок суперсемейства переносчиков АТФ-связывающей кассеты (ABC). АТФ-связывающие кассетные белки транспортируют различные молекулы через вне- и внутриклеточные мембраны. Изменения в этом гене могут быть связаны с прогрессированием рака. Альтернативный сплайсинг приводит к множественным вариантам транскриптов. Родственные псевдогены были идентифицированы на хромосомах 3 и 7.

Характеристики антител ABCF2

  • Видовая специфичность – человек, мышь, крыса;
  • применение – WB, IHC, IF;
  • условия транспортировки, °C – +2-8;
  • условия хранения, °C – - 20 (в виде аликвот).
Вестерн-блот-анализ экстрактов нормальных (контрольных) и нокаутных по ABCF2 (KO) клеток 293T с использованием антитела ABCF2 (A19950) в разведении 1:1000. Вторичное антитело: HRP Goat Anti-Rabbit IgG (H+L) (AS014) в разведении 1:10000. Лизаты/белки: 25 мкг на дорожку. Блокирующий буфер: 3% обезжиренное сухое молоко в TBST. Обнаружение: базовый комплект ECL (RM00020). Время экспозиции: 3 с.

Вестерн-блот-анализ экстрактов нормальных (контрольных) и нокаутных по ABCF2 (KO) клеток 293T с использованием антитела ABCF2 (A19950) в разведении 1:1000.

Вторичное антитело: HRP Goat Anti-Rabbit IgG (H+L) (AS014) в разведении 1:10000.

Лизаты/белки: 25 мкг на дорожку.

Блокирующий буфер: 3% обезжиренное сухое молоко в TBST.

Обнаружение: базовый комплект ECL (RM00020).

Время экспозиции: 3 с.

A19942.20ul
20 мкл
A19942.50ul
50 мкл
A19942.100ul
100 мкл
A19942.200ul
200 мкл

Этот ген кодирует представителя семейства ацил-КоА-дегидрогеназ. Члены этого семейства белков локализуются в митохондриях и катализируют ограничивающую скорость стадию бета-окисления жирного ацил-КоА. Кодируемый белок специфически активен в отношении пальмитоил-КоА и длинноцепочечных ненасыщенных субстратов. Мутации в этом гене вызывают дефицит члена семейства ацил-КоА-дегидрогеназы 9 типа. Альтернативный сплайсинг приводит к множественным вариантам транскриптов.

Характеристики антител ACAD9

  • Видовая специфичность – человек, мышь, крыса;
  • применение – WB, IF;
  • условия транспортировки, °C – +2-8;
  • условия хранения, °C – - 20 (в виде аликвот).
Вестерн-блот-анализ экстрактов нормальных (контрольных) и нокаутных по ACAD9 (KO) клеток HeLa с использованием антитела к ACAD9 (A19942) в разведении 1:1000. Вторичное антитело: HRP Goat Anti-Rabbit IgG (H+L) (AS014) в разведении 1:10000. Лизаты/белки: 25 мкг на дорожку. Блокирующий буфер: 3% обезжиренное сухое молоко в TBST. Обнаружение: базовый комплект ECL (RM00020). Время экспозиции: 1с.

Вестерн-блот-анализ экстрактов нормальных (контрольных) и нокаутных по ACAD9 (KO) клеток HeLa с использованием антитела к ACAD9 (A19942) в разведении 1:1000.

Вторичное антитело: HRP Goat Anti-Rabbit IgG (H+L) (AS014) в разведении 1:10000.

Лизаты/белки: 25 мкг на дорожку.

Блокирующий буфер: 3% обезжиренное сухое молоко в TBST.

Обнаружение: базовый комплект ECL (RM00020).

Время экспозиции: 1 с.

A19973.20ul
20 мкл
A19973.50ul
50 мкл
A19973.100ul
100 мкл
A19973.200ul
200 мкл

Белок, кодируемый этим геном, нацелен на внутреннюю митохондриальную мембрану, где он катализирует первую стадию митохондриального пути бета-окисления жирных кислот. Эта дегидрогеназа ацил-кофермента А специфична для жирных кислот с длинной и очень длинной цепью. Дефицит этого генного продукта снижает бета-окисление жирных кислот в миокарде и связан с кардиомиопатией. Альтернативный сплайсинг приводит к множеству вариантов транскриптов, кодирующих разные изоформы.

Характеристики антител ACADVL

  • Видовая специфичность – человек, мышь, крыса;
  • применение – WB, IF;
  • условия транспортировки, °C – +2-8;
  • условия хранения, °C – - 20 (в виде аликвот).
A16002.20ul
20 мкл
21 982 руб.
1 802 CNY
A16002.50ul
50 мкл
A16002.100ul
100 мкл
63 726 руб.
5 223 CNY
A16002.200ul
200 мкл

Этот ген кодирует белок, принадлежащий к суперсемейству High Mobility Group-box. Кодируемый негистоновый ядерный ДНК-связывающий белок регулирует транскрипцию и участвует в организации ДНК. Этот белок играет роль в нескольких клеточных процессах, включая воспаление, дифференцировку клеток и миграцию опухолевых клеток. Было идентифицировано несколько псевдогенов этого гена. Альтернативный сплайсинг приводит к множеству вариантов транскриптов, кодирующих один и тот же белок.

Характеристики антител HMGB1-K29

  • Видовая специфичность – человек, мышь, крыса;
  • применение – WB, IF;
  • условия транспортировки, °C – +2-8;
  • условия хранения, °C – - 20 (в виде аликвот).
Вестерн-блоттинг экстрактов нормальных (контрольных) и клеток с нокаутом (KO) 293T по ацетил-HMGB1-K29 с использованием антитела к ацетил-HMGB1-K29 (A16002) в разведении 1:1000. Вторичное антитело: HRP Goat Anti-Rabbit IgG (H+L) (AS014) в разведении 1:10000. Лизаты/белки: 25 мкг на дорожку. Блокирующий буфер: 3% обезжиренное сухое молоко в TBST. Обнаружение: расширенный комплект ECL (RM00021). Время экспозиции: 5 мин.

Вестерн-блоттинг экстрактов нормальных (контрольных) и клеток с нокаутом (KO) 293T по ацетил-HMGB1-K29 с использованием антитела к ацетил-HMGB1-K29 (A16002) в разведении 1:1000.

Вторичное антитело: HRP Goat Anti-Rabbit IgG (H+L) (AS014) в разведении 1:10000.

Лизаты/белки: 25 мкг на дорожку.

Блокирующий буфер: 3% обезжиренное сухое молоко в TBST.

Обнаружение: расширенный комплект ECL (RM00021).

Время экспозиции: 5 мин.


Публикации:

RAGE against the stress: Mitochondrial suppression in hypometabolic hearts

Rasha Al-Attar, Kenneth B Storey.
Application:WB

A19654.20ul
20 мкл
29 329 руб.
2 404 CNY
A19654.50ul
50 мкл
A19654.100ul
100 мкл
72 908 руб.
5 976 CNY
A19654.200ul
200 мкл

Этот ген кодирует белок, который является членом семейства протеаз цистеин-аспарагиновой кислоты (каспаз). Последовательная активация каспаз играет центральную роль в фазе исполнения клеточного апоптоза. Каспазы существуют в виде неактивных проферментов, которые подвергаются протеолитическому процессингу консервативных остатков аспарагиновой кислоты с образованием двух субъединиц, большой и малой, которые димеризуются с образованием активного фермента. Этот белок расщепляет и активирует каспазы 6, 7 и 9, а сам белок процессируется каспазами 8, 9 и 10. Это основная каспаза, участвующая в расщеплении белка-предшественника амилоида-бета 4А, что связано с гибелью нейронов у Болезнь Альцгеймера. Альтернативный сплайсинг этого гена приводит к двум вариантам транскриптов, кодирующим один и тот же белок. [предоставлено RefSeq, июль 2008 г.]

Характеристики антител

  • Видовая специфичность – человек, мышь, крыса;
  • применение – WB, IF;
  • условия транспортировки, °C – +2-8;
  • условия хранения, °C – - 20 (в виде аликвот).
Вестерн-блот-анализ экстрактов различных клеточных линий с использованием активного антитела + про-каспаза-3 (A19654) в разведении 1:1000.

Вестерн-блот-анализ экстрактов различных клеточных линий с использованием активного антитела + про-каспаза-3 (A19654) в разведении 1:1000.

Вторичное антитело: HRP Goat Anti-Rabbit IgG (H+L) (AS014) в разведении 1:10000.

Лизаты/белки: 25 мкг на дорожку.

Блокирующий буфер: 3% обезжиренное сухое молоко в TBST.

Обнаружение: базовый комплект ECL (RM00020).

Время экспозиции: 90 c.

Вестерн-блот-анализ экстрактов различных клеточных линий с использованием активного антитела + про-каспаза-3 (A19654) в разведении 1:1000. Вторичное антитело: HRP Goat Anti-Rabbit IgG (H+L) (AS014) в разведении 1:10000.

Вестерн-блот-анализ экстрактов различных клеточных линий с использованием активного антитела + про-каспаза-3 (A19654) в разведении 1:1000.

Вторичное антитело: HRP Goat Anti-Rabbit IgG (H+L) (AS014) в разведении 1:10000.

Лизаты/белки: 25 мкг на дорожку.

Блокирующий буфер: 3% обезжиренное сухое молоко в TBST.

Обнаружение: базовый комплект ECL (RM00020).

Время экспозиции: 3 мин.


A18029.20ul
20 мкл
A18029.50ul
50 мкл
A18029.100ul
100 мкл
A18029.200ul
200 мкл

Этот ген кодирует фермент, катализирующий гидролиз аденозина до инозина. Для этого гена были описаны различные мутации, связанные с заболеваниями человека. Дефицит этого фермента вызывает форму тяжелого комбинированного иммунодефицита (ТКИН), при котором наблюдается дисфункция как В-, так и Т-лимфоцитов с нарушением клеточного иммунитета и снижением продукции иммуноглобулинов, тогда как повышенные уровни этого фермента связаны с врожденной гемолитической анемией.

Характеристики антител ADA

  • Видовая специфичность – человек, мышь, крыса;
  • применение – WB, IF;
  • условия транспортировки, °C – +2-8;
  • условия хранения, °C – - 20 (в виде аликвот).
Антитела [KO Validated] Adenosine Deaminase (ADA) кроличьи, поликлональные

Вестерн-блот анализ экстрактов из нормальных (контрольных) и нокаутных (KO) клеток HeLa с аденозиндезаминазой (аденозиндезаминазой (ADA)) с использованием антитела к аденозиндезаминазе (аденозиндезаминазе (ADA)) (A18029) в разведении 1:3000.

Вторичное антитело: HRP Goat Anti-Rabbit IgG (H+L) (AS014) в разведении 1:10000.

Лизаты/белки: 25 мкг на дорожку.

Блокирующий буфер: 3% обезжиренное сухое молоко в TBST.

Обнаружение: базовый комплект ECL (RM00020).

Время экспозиции: 5 с.

A18045.20ul
20 мкл
A18045.50ul
50 мкл
A18045.100ul
100 мкл
A18045.200ul
200 мкл

Этот ген кодирует белок, который действует как рецептор адипонектина, гормона, секретируемого адипоцитами, который регулирует катаболизм жирных кислот и уровень глюкозы. Связывание адипонектина с кодируемым белком приводит к активации АМФ-активируемого киназного сигнального пути, который влияет на уровни окисления жирных кислот и чувствительность к инсулину. Псевдоген этого гена расположен на хромосоме 14. Для этого гена были обнаружены множественные альтернативно сплайсированные варианты транскриптов.

Характеристики антител ADIPOR1

  • Видовая специфичность – человек, мышь, крыса;
  • применение – WB, IF;
  • условия транспортировки, °C – +2-8;
  • условия хранения, °C – - 20 (в виде аликвот).
Вестерн-блот анализ экстрактов нормальных (контрольных) и нокаутных по ADIPOR1 (KO) клеток 293T с использованием антитела ADIPOR1 (A18045) в разведении 1:1000.

Вестерн-блот анализ экстрактов нормальных (контрольных) и нокаутных по ADIPOR1 (KO) клеток 293T с использованием антитела ADIPOR1 (A18045) в разведении 1:1000.

Вторичное антитело: HRP Goat Anti-Rabbit IgG (H+L) (AS014) в разведении 1:10000.

Лизаты/белки: 25 мкг на дорожку.

Блокирующий буфер: 3% обезжиренное сухое молоко в TBST.

Обнаружение: базовый комплект ECL (RM00020).

Время экспозиции: 90 с.

A19992.20ul
20 мкл
A19992.50ul
50 мкл
A19992.100ul
100 мкл
A19992.200ul
200 мкл

Этот ген представляет собой фермент, катализирующий перенос гамма-фосфата от АТФ к аденозину, тем самым служащий регулятором концентрации как внеклеточных аденозиновых, так и внутриклеточных адениновых нуклеотидов. Аденозин оказывает широкое воздействие на сердечно-сосудистую, нервную, дыхательную и иммунную системы, а ингибиторы этого фермента могут играть важную фармакологическую роль в повышении внутрисосудистой концентрации аденозина и действовать как противовоспалительные средства. Для этого гена было обнаружено несколько вариантов транскриптов, кодирующих разные изоформы.

Характеристики антител ADK

  • Видовая специфичность – человек, мышь, крыса;
  • применение – WB;
  • условия транспортировки, °C – +2-8;
  • условия хранения, °C – - 20 (в виде аликвот).
Вестерн-блоттинг экстрактов нормальных (контрольных) и клеток HeLa с нокаутом ADK (KO) с использованием антител ADK (A19992) в разведении 1:1000.

Вестерн-блоттинг экстрактов нормальных (контрольных) и клеток HeLa с нокаутом ADK (KO) с использованием антител ADK (A19992) в разведении 1:1000.

Вторичное антитело: HRP Goat Anti-Rabbit IgG (H+L) (AS014) в разведении 1:10000.

Лизаты/белки: 25 мкг на дорожку.

Блокирующий буфер: 3% обезжиренное сухое молоко в TBST.

Обнаружение: базовый комплект ECL (RM00020).

Время экспозиции: 30 с.

A19944.20ul
20 мкл
A19944.50ul
50 мкл
A19944.100ul
100 мкл
A19944.200ul
200 мкл

Белок, кодируемый этим геном, сходен по последовательности с амино-концом энхансера split groucho у дрозофилы, белка, участвующего в нейрогенезе во время эмбрионального развития. Кодируемый белок, который принадлежит к семейству белков groucho/TLE, может функционировать как гомоолигомер или как гетероолог с другими членами семейства, чтобы доминантно подавлять экспрессию генов других членов семейства. Для этого гена были обнаружены три варианта транскрипта, кодирующие разные изоформы.

Характеристики антител AES

  • Видовая специфичность – человек, мышь;
  • применение – WB, IF;
  • условия транспортировки, °C – +2-8;
  • условия хранения, °C – - 20 (в виде аликвот).
Вестерн-блот анализ экстрактов нормальных (контрольных) и клеток HeLa с нокаутом AES (KO) с использованием антитела AES (A19944) в разведении 1:1000.

Вестерн-блот анализ экстрактов нормальных (контрольных) и клеток HeLa с нокаутом AES (KO) с использованием антитела AES (A19944) в разведении 1:1000.

Вторичное антитело: HRP Goat Anti-Rabbit IgG (H+L) (AS014) в разведении 1:10000.

Лизаты/белки: 25 мкг на дорожку.

Блокирующий буфер: 3% обезжиренное сухое молоко в TBST.

Обнаружение: базовый комплект ECL (RM00020).

Время экспозиции: 1 с.

A2568.20ul
20 мкл
21 982 руб.
1 802 CNY
A2568.50ul
50 мкл
A2568.100ul
100 мкл
63 726 руб.
5 223 CNY
A2568.200ul
200 мкл

Характеристики антител AIF

  • Видовая специфичность – человек, мышь, крыса;
  • применение – WB, IHC, IF, IP;
  • условия транспортировки, °C – +2-8;
  • условия хранения, °C – - 20 (в виде аликвот).
Вестерн-блоттинг экстрактов различных клеточных линий с использованием антитела AIF (A2568) в разведении 1:1000.

Вестерн-блоттинг экстрактов различных клеточных линий с использованием антитела AIF (A2568) в разведении 1:1000.

Вторичное антитело: HRP Goat Anti-Rabbit IgG (H+L) (AS014) в разведении 1:10000.

Лизаты/белки: 25 мкг на дорожку.

Блокирующий буфер: 3% обезжиренное сухое молоко в TBST.

Вестерн-блот-анализ экстрактов нормальных (контрольных) и клеток с нокаутом AIF (KO) 293T с использованием антитела к AIF (A2568) в разведении 1:1000.

Вестерн-блот-анализ экстрактов нормальных (контрольных) и клеток с нокаутом AIF (KO) 293T с использованием антитела к AIF (A2568) в разведении 1:1000.

Вторичное антитело: HRP Goat Anti-Rabbit IgG (H+L) (AS014) в разведении 1:10000.

Лизаты/белки: 25 мкг на дорожку.

Блокирующий буфер: 3% обезжиренное сухое молоко в TBST.

Обнаружение: базовый комплект ECL (RM00020).

Время экспозиции: 1 с.



Публикации:

The coexistence of a novel WNK1 variant and a copy number variation causes hereditary sensory and autonomic neuropathy type IIA
Application:WB

15, 16-Dihydrotanshinone I Inhibits Hemangiomas through Inducing Pro-apoptotic and Anti-angiogenic Mechanisms in Vitro and in Vivo
Application:WB

Glycolysis inhibition and apoptosis induction in human prostate cancer cells by FV-429-mediated regulation of AR-AKT-HK2 signaling network
Application:WB

A19969.20ul
20 мкл
A19969.50ul
50 мкл
A19969.100ul
100 мкл
A19969.200ul
200 мкл

Белок, кодируемый этим геном, является рецептором арильных углеводородов и активируемым лигандом фактором транскрипции. Кодируемый белок находится в цитоплазме в составе мультибелкового комплекса, но при связывании с лигандом транспортируется в ядро. Этот белок может регулировать экспрессию многих ферментов, метаболизирующих ксенобиотики. Кроме того, кодируемый белок может специфически связываться с вирусом гепатита В и ингибировать его активность. Для этого гена были обнаружены три варианта транскрипта, кодирующие разные изоформы.

Характеристики антител AIP

  • Видовая специфичность – человек, мышь, крыса;
  • применение – WB;
  • условия транспортировки, °C – +2-8;
  • условия хранения, °C – - 20 (в виде аликвот).
Вестерн-блот анализ экстрактов нормальных (контрольных) и нокаутных по AIP (KO) клеток HeLa с использованием антитела к AIP (A19969) в разведении 1:1000.

Вестерн-блот анализ экстрактов нормальных (контрольных) и нокаутных по AIP (KO) клеток HeLa с использованием антитела к AIP (A19969) в разведении 1:1000.

Вторичное антитело: HRP Goat Anti-Rabbit IgG (H+L) (AS014) в разведении 1:10000.

Лизаты/белки: 25 мкг на дорожку.

Блокирующий буфер: 3% обезжиренное сухое молоко в TBST.

Обнаружение: базовый комплект ECL (RM00020).

Время экспозиции: 1 с.



A6519.20ul
20 мкл
A6519.50ul
50 мкл
A6519.100ul
100 мкл
A6519.200ul
200 мкл

Аденилаткиназы участвуют в регуляции состава адениновых нуклеотидов в клетке, катализируя обратимый перенос фосфатных групп между адениновыми нуклеотидами. У позвоночных идентифицированы три изофермента аденилаткиназы, а именно 1, 2 и 3; этот ген кодирует изофермент 2. Экспрессия этих изоферментов является тканеспецифичной и регулируется в процессе развития. Изофермент 2 локализуется в митохондриальном межмембранном пространстве и может играть роль в апоптозе. Мутации в этом гене являются причиной ретикулярной дисгенезии. Альтернативный сплайсинг приводит к множественным вариантам транскриптов. Псевдогены этого гена находятся на хромосомах 1 и 2.

Характеристики антител AK2

  • Видовая специфичность – человек, мышь, крыса;
  • применение – WB, IHC;
  • условия транспортировки, °C – +2-8;
  • условия хранения, °C – - 20 (в виде аликвот).
Вестерн-блот анализ экстрактов различных клеточных линий с использованием антитела AK2 (A6519) в разведении 1:1000.

Вестерн-блот анализ экстрактов различных клеточных линий с использованием антитела AK2 (A6519) в разведении 1:1000.

Вторичное антитело: HRP Goat Anti-Rabbit IgG (H+L) (AS014) в разведении 1:10000.

Лизаты/белки: 25 мкг на дорожку.

Блокирующий буфер: 3% обезжиренное сухое молоко в TBST.

Обнаружение: базовый комплект ECL (RM00020).

Время выдержки: 90 с.

Вестерн-блот анализ экстрактов нормальных (контрольных) и клеток с нокаутом AK2 (KO) 293T с использованием антитела AK2 (A6519) в разведении 1:1000.

Вестерн-блот анализ экстрактов нормальных (контрольных) и клеток с нокаутом AK2 (KO) 293T с использованием антитела AK2 (A6519) в разведении 1:1000.

Вторичное антитело: HRP Goat Anti-Rabbit IgG (H+L) (AS014) в разведении 1:10000.

Лизаты/белки: 25 мкг на дорожку.

Блокирующий буфер: 3% обезжиренное сухое молоко в TBST.

Обнаружение: базовый комплект ECL (RM00020).

Время экспозиции: 90 с.



A19854.20ul
20 мкл
A19854.50ul
50 мкл
A19854.100ul
100 мкл
A19854.200ul
200 мкл

Этот ген кодирует член семейства ферментов аденилаткиназы. Кодируемый белок локализован в митохондриальном матриксе. Аденилаткиназы регулируют состав адениновых и гуаниновых нуклеотидов в клетке, катализируя обратимый перенос фосфатной группы между этими нуклеотидами. У позвоночных идентифицировано пять изоферментов аденилаткиназы. Экспрессия этих изоферментов является тканеспецифичной и регулируется в процессе развития. Псевдоген этого гена локализован на хромосоме 17. Для этого гена идентифицированы три варианта транскриптов, кодирующих один и тот же белок. Выравнивание последовательностей предполагает, что ген, определяемый NM_013410, NM_203464 и NM_001005353, расположен на хромосоме 1.

Характеристики антител AK4

  • Видовая специфичность – человек, мышь;
  • применение – WB, IF, IP;
  • условия транспортировки, °C – +2-8;
  • условия хранения, °C – - 20 (в виде аликвот).
Вестерн-блот-анализ экстрактов нормальных (контрольных) и клеток HeLa с нокаутом AK4 (KO) с использованием антитела AK4 (A19854) в разведении 1:1000.

Вестерн-блот-анализ экстрактов нормальных (контрольных) и клеток HeLa с нокаутом AK4 (KO) с использованием антитела AK4 (A19854) в разведении 1:1000.

Вторичное антитело: HRP Goat Anti-Rabbit IgG (H+L) (AS014) в разведении 1:10000.

Лизаты/белки: 25 мкг на дорожку.

Блокирующий буфер: 3% обезжиренное сухое молоко в TBST.

Обнаружение: базовый комплект ECL (RM00020).

Время экспозиции: 1 с.



A19855.20ul
20 мкл
A19855.50ul
50 мкл
A19855.100ul
100 мкл
A19855.200ul
200 мкл

Этот ген кодирует член семейства ферментов аденилаткиназы. Кодируемый белок локализован в митохондриальном матриксе. Аденилаткиназы регулируют состав адениновых и гуаниновых нуклеотидов в клетке, катализируя обратимый перенос фосфатной группы между этими нуклеотидами. У позвоночных идентифицировано пять изоферментов аденилаткиназы. Экспрессия этих изоферментов является тканеспецифичной и регулируется в процессе развития. Псевдоген этого гена локализован на хромосоме 17. Для этого гена идентифицированы три варианта транскриптов, кодирующих один и тот же белок. Выравнивание последовательностей предполагает, что ген, определяемый NM_013410, NM_203464 и NM_001005353, расположен на хромосоме 1.

Характеристики антител AK4

  • Видовая специфичность – человек, мышь, крыса;
  • применение – WB, IHC, IF, IP;
  • условия транспортировки, °C – +2-8;
  • условия хранения, °C – - 20 (в виде аликвот).
Вестерн-блот анализ экстрактов нормальных (контрольных) и клеток HeLa с нокаутом AK4 (KO) с использованием антитела AK4 (A19855) в разведении 1:1000.

Вестерн-блот анализ экстрактов нормальных (контрольных) и клеток HeLa с нокаутом AK4 (KO) с использованием антитела AK4 (A19855) в разведении 1:1000.

Вторичное антитело: HRP Goat Anti-Rabbit IgG (H+L) (AS014) в разведении 1:10000.

Лизаты/белки: 25 мкг на дорожку.

Блокирующий буфер: 3% обезжиренное сухое молоко в TBST.

Обнаружение: базовый комплект ECL (RM00020).

Время экспозиции: 1 с.



A7339.20ul
20 мкл
21 982 руб.
1 802 CNY
A7339.50ul
50 мкл
A7339.100ul
100 мкл
63 726 руб.
5 223 CNY
A7339.200ul
200 мкл

Белок, кодируемый этим геном, является каталитической субъединицей AMP-активируемой протеинкиназы (AMPK). AMPK представляет собой гетеротример, состоящий из альфа-каталитической субъединицы и некаталитических бета- и гамма-субъединиц. AMPK является важным ферментом, чувствительным к энергии, который контролирует энергетический статус клеток. В ответ на клеточные метаболические стрессы AMPK активируется и, таким образом, фосфорилирует и инактивирует ацетил-КоА-карбоксилазу (ACC) и бета-гидрокси-бета-метилглутарил-КоА-редуктазу (HMGCR), ключевые ферменты, участвующие в регуляции биосинтеза de novo жирных кислот и холестерина. Исследования на мышах предполагают, что эта каталитическая субъединица может контролировать чувствительность всего организма к инсулину и необходима для поддержания энергетического гомеостаза миокарда во время ишемии.

Характеристики антител AMPKα2

  • Видовая специфичность – человек, мышь, крыса;
  • применение – WB, IF;
  • условия транспортировки, °C – +2-8;
  • условия хранения, °C – - 20 (в виде аликвот).
Вестерн-блот анализ экстрактов печени крысы с использованием антитела AMPKα2 (A7339) в разведении 1:500.

Вестерн-блот анализ экстрактов печени крысы с использованием антитела AMPKα2 (A7339) в разведении 1:500.

Вторичное антитело: HRP Goat Anti-Rabbit IgG (H+L) (AS014) в разведении 1:10000.

Лизаты/белки: 25 мкг на дорожку.

Блокирующий буфер: 3% обезжиренное сухое молоко в TBST.

Обнаружение: базовый комплект ECL (RM00020).

Время выдержки: 180 с.

Вестерн-блоттинг экстрактов различных клеточных линий с использованием антитела AMPKα2 (A7339) в разведении 1:500.

Вестерн-блоттинг экстрактов различных клеточных линий с использованием антитела AMPKα2 (A7339) в разведении 1:500.

Вторичное антитело: HRP Goat Anti-Rabbit IgG (H+L) (AS014) в разведении 1:10000.

Лизаты/белки: 25 мкг на дорожку.

Блокирующий буфер: 3% обезжиренное сухое молоко в TBST.

Обнаружение: базовый комплект ECL (RM00020).

Время экспозиции: 30 с.



Публикации

Deciphering the Mechanism of Bushen Huoxue Decotion on Decidualization by Intervening Autophagy via AMPK/mTOR/ULK1: A Novel Discovery for URSA Treatment
Application:WB

Caecal microbiota could effectively increase chicken growth performance by regulating fat metabolism
Application:WB

A12491.20ul
20 мкл
21 982 руб.
1 802 CNY
A12491.50ul
50 мкл
A12491.100ul
100 мкл
63 726 руб.
5 223 CNY
A12491.200ul
200 мкл

Белок, кодируемый этим геном, является регуляторной субъединицей AMP-активируемой протеинкиназы (AMPK). AMPK представляет собой гетеротример, состоящий из альфа-каталитической субъединицы и некаталитических бета- и гамма-субъединиц. AMPK является важным ферментом, чувствительным к энергии, который контролирует энергетический статус клеток. В ответ на клеточные метаболические стрессы AMPK активируется и, таким образом, фосфорилирует и инактивирует ацетил-КоА-карбоксилазу (ACC) и бета-гидрокси-бета-метилглутарил-КоА-редуктазу (HMGCR), ключевые ферменты, участвующие в регуляции биосинтеза de novo жирных кислот и холестерина. Эта субъединица может быть положительным регулятором активности AMPK. Было показано, что миристоилирование и фосфорилирование этой субъединицы влияет на активность фермента и клеточную локализацию AMPK. Эта субъединица может также служить адапторной молекулой, опосредующей ассоциацию комплекса AMPK.

Характеристики антител AMPKβ1

  • Видовая специфичность – человек, мышь, крыса;
  • применение – WB, IF;
  • условия транспортировки, °C – +2-8;
  • условия хранения, °C – - 20 (в виде аликвот).
Вестерн-блоттинг экстрактов различных клеточных линий с использованием антитела AMPKβ1 (A12491) в разведении 1:1000.

Вестерн-блоттинг экстрактов различных клеточных линий с использованием антитела AMPKβ1 (A12491) в разведении 1:1000.

Вторичное антитело: HRP Goat Anti-Rabbit IgG (H+L) (AS014) в разведении 1:10000.

Лизаты/белки: 25 мкг на дорожку.

Блокирующий буфер: 3% обезжиренное сухое молоко в TBST.

Обнаружение: базовый комплект ECL (RM00020).

Время экспозиции: 90 c.

Антитела [KO Validated] AMPKβ1 кроличьи, поликлональные

Вестерн-блот-анализ экстрактов нормальных (контрольных) и клеток HeLa с нокаутом AMPKβ1 (KO) с использованием антитела AMPKβ1 (A12491) в разведении 1:1000.

Вторичное антитело: HRP Goat Anti-Rabbit IgG (H+L) (AS014) в разведении 1:10000.

Лизаты/белки: 25 мкг на дорожку.

Блокирующий буфер: 3% обезжиренное сухое молоко в TBST.

Обнаружение: базовый комплект ECL (RM00020).

Время экспозиции: 5 с.


A7109.20ul
20 мкл
A7109.50ul
50 мкл
A7109.100ul
100 мкл
A7109.200ul
200 мкл

Этот ген кодирует содержащий тетратрикопептидный повтор компонент комплекса, стимулирующего анафазу/циклосому (APC/C), крупную убиквитинлигазу E3, которая контролирует прогрессирование клеточного цикла путем нацеливания на ряд регуляторов клеточного цикла, таких как циклины B-типа для протеасомы 26S. опосредованная деградация через убиквитинирование. Кодируемый белок необходим для правильной убиквитинирующей функции APC/C и для взаимодействия APC/C с коактиваторами транскрипции. Он также взаимодействует с полиА-связывающим белком и подавляет трансляцию, опосредованную внутренним сайтом посадки рибосомы. Для этого гена было обнаружено несколько вариантов транскриптов, кодирующих разные изоформы. Эти различия вызывают инициацию трансляции в нижестоящей AUG и приводят к более короткому белку (изоформа b) по сравнению с изоформой a.

Характеристики антител ANAPC5

  • Видовая специфичность – человек, мышь, крыса;
  • применение – WB, IHC, IP;
  • условия транспортировки, °C – +2-8;
  • условия хранения, °C – - 20 (в виде аликвот).
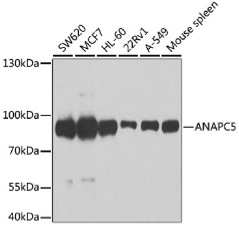
Вестерн-блот анализ экстрактов различных клеточных линий с использованием антитела ANAPC5 (A7109) в разведении 1:1000.

Вестерн-блот анализ экстрактов различных клеточных линий с использованием антитела ANAPC5 (A7109) в разведении 1:1000.

Вторичное антитело: HRP Goat Anti-Rabbit IgG (H+L) (AS014) в разведении 1:10000.

Лизаты/белки: 25 мкг на дорожку.

Блокирующий буфер: 3% обезжиренное сухое молоко в TBST.

Обнаружение: базовый комплект ECL (RM00020).

Время экспозиции: 90 c.

Антитела [KO Validated] ANAPC5 кроличьи, поликлональные

Вестерн-блот-анализ экстрактов нормальных (контрольных) и клеток с нокаутом ANAPC5 (KO) 293T с использованием антитела ANAPC5 (A7109) в разведении 1:1000.

Вторичное антитело: HRP Goat Anti-Rabbit IgG (H+L) (AS014) в разведении 1:10000.

Лизаты/белки: 25 мкг на дорожку.

Блокирующий буфер: 3% обезжиренное сухое молоко в TBST.

Обнаружение: базовый комплект ECL (RM00020).

Время экспозиции: 30 с.


Публикации:

Comprehensive nucleosome interactome screen establishes fundamental principles of nucleosome binding

Application:WB


A19958.20ul
20 мкл
A19958.50ul
50 мкл
A19958.100ul
100 мкл
A19958.200ul
200 мкл

Предполагаемая регуляторная субъединица протеинфосфатазы 6 (PP6), которая может участвовать в распознавании фосфопротеиновых субстратов.

Характеристики антител ANKRD52

  • Видовая специфичность – человек, мышь, крыса;
  • применение – WB, IHC;
  • условия транспортировки, °C – +2-8;
  • условия хранения, °C – - 20 (в виде аликвот).
Вестерн-блот-анализ экстрактов нормальных (контрольных) и нокаутных (KO) клеток 293T по ANKRD52 с использованием антитела ANKRD52 (A19958) в разведении 1:3000.

Вестерн-блот-анализ экстрактов нормальных (контрольных) и нокаутных (KO) клеток 293T по ANKRD52 с использованием антитела ANKRD52 (A19958) в разведении 1:3000.

Вторичное антитело: HRP Goat Anti-Rabbit IgG (H+L) (AS014) в разведении 1:10000.

Лизаты/белки: 25 мкг на дорожку.

Блокирующий буфер: 3% обезжиренное сухое молоко в TBST.

Обнаружение: базовый комплект ECL (RM00020).

Время экспозиции: 1 c.


A1728.20ul
20 мкл
A1728.50ul
50 мкл
A1728.100ul
100 мкл
A1728.200ul
200 мкл

Белок, кодируемый этим геном, принадлежит к семейству аннексинов, кальций-зависимых белков, связывающих фосфолипиды, некоторые из которых вовлечены в процессы, связанные с мембранами, по пути экзоцитоза и эндоцитоза. Аннексин 5 представляет собой белок, ингибирующий фосфолипазу А2 и протеинкиназу С, с активностью кальциевых каналов и потенциальной ролью в передаче клеточного сигнала, воспалении, росте и дифференцировке. Аннексин 5 также был описан как плацентарный антикоагулянтный белок I, сосудистый антикоагулянт-альфа, эндонексин II, липокортин V, плацентарный белок 4 и анкерин CII. Ген охватывает 29 т.п.н., содержит 13 экзонов и кодирует один транскрипт размером приблизительно 1,6 т.п.н. и белковый продукт с молекулярной массой около 35 кДа.

Характеристики антител Annexin A5

  • Видовая специфичность – человек, мышь;
  • применение – WB, IF;
  • условия транспортировки, °C – +2-8;
  • условия хранения, °C – - 20 (в виде аликвот).
Вестерн-блот анализ экстрактов различных клеточных линий с использованием антител к аннексину A5/аннексину V (A1728) в разведении 1:1000.

Вестерн-блот анализ экстрактов различных клеточных линий с использованием антител к аннексину A5/аннексину V (A1728) в разведении 1:1000.

Вторичное антитело: HRP Goat Anti-Rabbit IgG (H+L) (AS014) в разведении 1:10000.

Лизаты/белки: 25 мкг на дорожку.

Блокирующий буфер: 3% обезжиренное сухое молоко в TBST.

Антитела [KO Validated] Annexin A5/Annexin V кроличьи, поликлональные

Вестерн-блот анализ экстрактов нормальных (контрольных) клеток и клеток с нокаутом аннексина A5/аннексина V (KO) 293T с использованием антитела к аннексину A5/аннексину V (A1728) в разведении 1:1000.

Вторичное антитело: HRP Goat Anti-Rabbit IgG (H+L) (AS014) в разведении 1:10000.

Лизаты/белки: 25 мкг на дорожку.

Блокирующий буфер: 3% обезжиренное сухое молоко в TBST.

Обнаружение: базовый комплект ECL (RM00020).

Время экспозиции: 1 с.


A1118.20ul
20 мкл
21 982 руб.
1 802 CNY
A1118.50ul
50 мкл
A1118.100ul
100 мкл
63 726 руб.
5 223 CNY
A1118.200ul
200 мкл

Белок, кодируемый этим геном, принадлежит к семейству аннексинов, кальций-зависимых белков, связывающих фосфолипиды, некоторые из которых вовлечены в процессы, связанные с мембранами, по пути экзоцитоза и эндоцитоза. Аннексин 5 представляет собой белок, ингибирующий фосфолипазу А2 и протеинкиназу С, с активностью кальциевых каналов и потенциальной ролью в передаче клеточного сигнала, воспалении, росте и дифференцировке. Аннексин 5 также был описан как плацентарный антикоагулянтный белок I, сосудистый антикоагулянт-альфа, эндонексин II, липокортин V, плацентарный белок 4 и анкерин CII. Ген охватывает 29 т.п.н., содержит 13 экзонов и кодирует один транскрипт размером приблизительно 1,6 т.п.н. и белковый продукт с молекулярной массой около 35 кДа.

Характеристики антител ANXA1

  • Видовая специфичность – человек, мышь;
  • применение – WB, IF;
  • условия транспортировки, °C – +2-8;
  • условия хранения, °C – - 20 (в виде аликвот).
Вестерн-блот анализ экстрактов нормальных (контроль) и нокаутных по ANXA1 (KO) клеток HeLa с использованием антитела к ANXA1 (A1118) в разведении 1:1000.

Вестерн-блот анализ экстрактов нормальных (контроль) и нокаутных по ANXA1 (KO) клеток HeLa с использованием антитела к ANXA1 (A1118) в разведении 1:1000.

Вторичное антитело: HRP Goat Anti-Rabbit IgG (H+L) (AS014) в разведении 1:10000.

Лизаты/белки: 25 мкг на дорожку.

Блокирующий буфер: 3% обезжиренное сухое молоко в TBST.

Обнаружение: базовый комплект ECL (RM00020).

Время экспозиции: 1 с.

Антитела [KO Validated] ANXA1 кроличьи, поликлональные

Вестерн-блот анализ экстрактов различных клеточных линий с использованием антитела ANXA1 (A1118) в разведении 1:1000.

Вторичное антитело: HRP Goat Anti-Rabbit IgG (H+L) (AS014) в разведении 1:10000.

Лизаты/белки: 25 мкг на дорожку.

Блокирующий буфер: 3% обезжиренное сухое молоко в TBST.

Обнаружение: базовый комплект ECL (RM00020).

Время экспозиции: 1 с.


A19861.20ul
20 мкл
A19861.50ul
50 мкл
A19861.100ul
100 мкл
A19861.200ul
200 мкл

Этот ген кодирует член семейства аннексинов. Члены этого семейства кальций-зависимых фосфолипид-связывающих белков играют роль в регуляции клеточного роста и в путях передачи сигнала. Этот белок ингибирует фосфолипазу А2 и расщепляет инозитол-1,2-циклофосфат с образованием инозитол-1-фосфата. Этот белок также может играть роль в антикоагуляции.

Характеристики антител ANXA3

  • Видовая специфичность – человек, крыса;
  • применение – WB;
  • условия транспортировки, °C – +2-8;
  • условия хранения, °C – - 20 (в виде аликвот).
Вестерн-блот-анализ экстрактов нормальных (контрольных) и клеток HeLa с нокаутом ANXA3 (KO) с использованием антитела ANXA3 (A19861) в разведении 1:3000.

Вестерн-блот-анализ экстрактов нормальных (контрольных) и клеток HeLa с нокаутом ANXA3 (KO) с использованием антитела ANXA3 (A19861) в разведении 1:3000.

Вторичное антитело: HRP Goat Anti-Rabbit IgG (H+L) (AS014) в разведении 1:10000.

Лизаты/белки: 25 мкг на дорожку.

Блокирующий буфер: 3% обезжиренное сухое молоко в TBST.

Обнаружение: базовый комплект ECL (RM00020).

Время экспозиции: 1 c.


A19862.20ul
20 мкл
A19862.50ul
50 мкл
A19862.100ul
100 мкл
A19862.200ul
200 мкл

Этот ген кодирует член семейства аннексинов. Члены этого семейства кальций-зависимых фосфолипид-связывающих белков играют роль в регуляции клеточного роста и в путях передачи сигнала. Этот белок ингибирует фосфолипазу А2 и расщепляет инозитол-1,2-циклофосфат с образованием инозитол-1-фосфата. Этот белок также может играть роль в антикоагуляции.

Характеристики антител ANXA3

  • Видовая специфичность – человек, крыса, мышь;
  • применение – WB, IF;
  • условия транспортировки, °C – +2-8;
  • условия хранения, °C – - 20 (в виде аликвот).
Вестерн-блот-анализ экстрактов нормальных (контрольных) и нокаутных по ANXA3 (KO) клеток HeLa с использованием антитела к ANXA3 (A19862) в разведении 1:3000.

Вестерн-блот-анализ экстрактов нормальных (контрольных) и нокаутных по ANXA3 (KO) клеток HeLa с использованием антитела к ANXA3 (A19862) в разведении 1:3000.

Вторичное антитело: HRP Goat Anti-Rabbit IgG (H+L) (AS014) в разведении 1:10000.

Лизаты/белки: 25 мкг на дорожку.

Блокирующий буфер: 3% обезжиренное сухое молоко в TBST.

Обнаружение: базовый комплект ECL (RM00020).

Время экспозиции: 1 c.


A18069.20ul
20 мкл
A18069.50ul
50 мкл
A18069.100ul
100 мкл
A18069.200ul
200 мкл

Аннексин VI принадлежит к семейству кальций-зависимых белков, связывающих мембраны и фосфолипиды. Несколько членов семейства аннексинов вовлечены в процессы, связанные с мембранами, экзоцитозными и эндоцитотическими путями. Ген аннексина VI имеет длину приблизительно 60 т.п.н. и содержит 26 экзонов. Он кодирует белок массой около 68 кДа, состоящий из восьми повторов по 68 аминокислот, разделенных связывающими последовательностями различной длины. Он очень похож на последовательности аннексинов I и II человека, каждая из которых содержит четыре таких повтора. Аннексин VI вовлечен в опосредование агрегации эндосом и слияния пузырьков в секретирующем эпителии во время экзоцитоза. Альтернативно были описаны сплайсированные варианты транскриптов.

Характеристики антител ANXA6

  • Видовая специфичность – человек, мышь;
  • применение – WB;
  • условия транспортировки, °C – +2-8;
  • условия хранения, °C – - 20 (в виде аликвот).
Вестерн-блот-анализ экстрактов нормальных (контрольных) и клеток HeLa с нокаутом по аннексину A6/аннексину VI (KO) с использованием антитела к аннексину A6/аннексину VI (A18069) в разведении 1:1000.

Вестерн-блот-анализ экстрактов нормальных (контрольных) и клеток HeLa с нокаутом по аннексину A6/аннексину VI (KO) с использованием антитела к аннексину A6/аннексину VI (A18069) в разведении 1:1000.

Вторичное антитело: HRP Goat Anti-Rabbit IgG (H+L) (AS014) в разведении 1:10000.

Лизаты/белки: 25 мкг на дорожку.

Блокирующий буфер: 3% обезжиренное сухое молоко в TBST.

Обнаружение: базовый комплект ECL (RM00020).

Время экспозиции: 1 c.


A19879.20ul
20 мкл
A19879.50ul
50 мкл
A19879.100ul
100 мкл
A19879.200ul
200 мкл

Этот ген кодирует фермент ацилпептидгидролазу, которая катализирует гидролиз концевой ацетилированной аминокислоты преимущественно из малых ацетилированных пептидов. Ацетиламинокислота, образованная этой гидролазой, далее обрабатывается аминоацилазой до ацетата и свободной аминокислоты. Этот ген расположен в том же районе хромосомы 3 (3p21), что и ген аминоацилазы, и делеции в этом локусе также связаны со снижением активности аминоацилазы. Ацилпептидгидролаза представляет собой гомотетрамерный белок с молекулярной массой 300 кДа, каждая субъединица которого состоит из 732 аминокислотных остатков. Он может играть важную роль в разрушении окислительно поврежденных белков в живых клетках. Делеции этого локуса гена обнаруживаются в различных типах карцином, включая мелкоклеточную карциному легкого и почечно-клеточную карциному.

Характеристики антител APEH

  • Видовая специфичность – человек, мышь;
  • применение – WB, IF;
  • условия транспортировки, °C – +2-8;
  • условия хранения, °C – - 20 (в виде аликвот).
Вестерн-блот-анализ экстрактов нормальных (контрольных) и клеток с нокаутом APEH (KO) 293T с использованием антитела APEH (A19879) в разведении 1:1000.

Вестерн-блот-анализ экстрактов нормальных (контрольных) и клеток с нокаутом APEH (KO) 293T с использованием антитела APEH (A19879) в разведении 1:1000.

Вторичное антитело: HRP Goat Anti-Rabbit IgG (H+L) (AS014) в разведении 1:10000.

Лизаты/белки: 25 мкг на дорожку.

Блокирующий буфер: 3% обезжиренное сухое молоко в TBST.

Обнаружение: базовый комплект ECL (RM00020).

Время экспозиции: 1 c.


A19912.20ul
20 мкл
A19912.50ul
50 мкл
24 738 руб.
2 028 CNY
A19912.100ul
100 мкл
69 652 руб.
5 709 CNY
A19912.200ul
200 мкл
62 221 руб.
5 100 CNY

Этот ген кодирует фермент ацилпептидгидролазу, которая катализирует гидролиз концевой ацетилированной аминокислоты преимущественно из малых ацетилированных пептидов. Ацетиламинокислота, образованная этой гидролазой, далее обрабатывается аминоацилазой до ацетата и свободной аминокислоты. Этот ген расположен в том же районе хромосомы 3 (3p21), что и ген аминоацилазы, и делеции в этом локусе также связаны со снижением активности аминоацилазы. Ацилпептидгидролаза представляет собой гомотетрамерный белок с молекулярной массой 300 кДа, каждая субъединица которого состоит из 732 аминокислотных остатков. Он может играть важную роль в разрушении окислительно поврежденных белков в живых клетках. Делеции этого локуса гена обнаруживаются в различных типах карцином, включая мелкоклеточную карциному легкого и почечно-клеточную карциному.

Характеристики антител APEH

  • Видовая специфичность – человек, мышь;
  • применение – WB, IP;
  • условия транспортировки, °C – +2-8;
  • условия хранения, °C – - 20 (в виде аликвот).
Вестерн-блот-анализ экстрактов нормальных (контрольных) и нокаутных по APEH (KO) клеток 293T с использованием антитела к APEH (A19912) в разведении 1:1000.

Вестерн-блот-анализ экстрактов нормальных (контрольных) и нокаутных по APEH (KO) клеток 293T с использованием антитела к APEH (A19912) в разведении 1:1000.

Вторичное антитело: HRP Goat Anti-Rabbit IgG (H+L) (AS014) в разведении 1:10000.

Лизаты/белки: 25 мкг на дорожку.

Блокирующий буфер: 3% обезжиренное сухое молоко в TBST.

Обнаружение: базовый комплект ECL (RM00020).

Время экспозиции: 1 c.


A2587.20ul
20 мкл
A2587.50ul
50 мкл
A2587.100ul
100 мкл
A2587.200ul
200 мкл

Апуриновые/апиримидиновые (АР) сайты часто возникают в молекулах ДНК в результате спонтанного гидролиза, под действием агентов, повреждающих ДНК, или под действием ДНК-гликозилаз, которые удаляют специфические аномальные основания. AP-сайты представляют собой премутагенные повреждения, которые могут препятствовать нормальной репликации ДНК, поэтому клетка содержит системы для идентификации и восстановления таких сайтов. Эндонуклеазы AP класса II расщепляют 5'-фосфодиэфирный остов до AP-сайта. Этот ген кодирует основную эндонуклеазу АР в клетках человека. Для этого гена были обнаружены варианты сплайсинга; все кодируют один и тот же белок.

Характеристики антител APEX1/APE1

  • Видовая специфичность – человек;
  • применение – WB, IP, IF;
  • условия транспортировки, °C – +2-8;
  • условия хранения, °C – - 20 (в виде аликвот).
Вестерн-блот-анализ экстрактов различных клеточных линий с использованием антитела APEX1/APE1 (A2587).

Вестерн-блот-анализ экстрактов различных клеточных линий с использованием антитела APEX1/APE1 (A2587).

Вторичное антитело: HRP Goat Anti-Rabbit IgG (H+L) (AS014) в разведении 1:10000.

Лизаты/белки: 25 мкг на дорожку.

Блокирующий буфер: 3% обезжиренное сухое молоко в TBST.

Антитела [KO Validated] APEX1/APE1 кроличьи, поликлональные

Вестерн-блот-анализ экстрактов нормальных (контрольных) и клеток с нокаутом APEX1/APE1 (KO) 293T с использованием антитела APEX1/APE1 (A2587) в разведении 1:3000.

Вторичное антитело: HRP Goat Anti-Rabbit IgG (H+L) (AS014) в разведении 1:10000.

Лизаты/белки: 25 мкг на дорожку.

Блокирующий буфер: 3% обезжиренное сухое молоко в TBST.

Обнаружение: базовый комплект ECL (RM00020).

Время экспозиции: 1 c.


A17911.20ul
20 мкл
25 757 руб.
2 111 CNY
A17911.50ul
50 мкл
A17911.100ul
100 мкл
64 529 руб.
5 289 CNY
A17911.200ul
200 мкл

Этот ген кодирует рецептор клеточной поверхности и трансмембранный белок-предшественник, который расщепляется секретазами с образованием ряда пептидов. Некоторые из этих пептидов секретируются и могут связываться с ацетилтрансферазным комплексом APBB1/TIP60, способствуя активации транскрипции, в то время как другие образуют белковую основу амилоидных бляшек, обнаруживаемых в головном мозге пациентов с болезнью Альцгеймера. Кроме того, два пептида являются антимикробными пептидами, которые, как было показано, обладают бактерицидной и противогрибковой активностью. Мутации в этом гене связаны с аутосомно-доминантной болезнью Альцгеймера и цереброартериальным амилоидозом (церебральной амилоидной ангиопатией). Для этого гена были обнаружены множественные варианты транскриптов, кодирующие несколько различных изоформ. [предоставлено RefSeq, август 2014 г.]

Характеристики антител APP

  • Видовая специфичность – человек, мышь, крыса;
  • применение – WB, IP, IF, IHC;
  • условия транспортировки, °C – +2-8;
  • условия хранения, °C – - 20 (в виде аликвот).
Вестерн-блот-анализ экстрактов клеток дикого типа (WT) и клеток с нокаутом APP (KO) 293T с использованием антитела APP (A17911) в разведении 1:1000.

Вестерн-блот-анализ экстрактов клеток дикого типа (WT) и клеток с нокаутом APP (KO) 293T с использованием антитела APP (A17911) в разведении 1:1000.

Вторичное антитело: HRP Goat Anti-Rabbit IgG (H+L) (AS014) в разведении 1:10000.

Лизаты/белки: 25 мкг на дорожку.

Блокирующий буфер: 3% обезжиренное сухое молоко в TBST.

Обнаружение: базовый комплект ECL (RM00020).

Время экспозиции: 10 c.

Публикации:

Lovastatin attenuates sevoflurane-induced cognitive disorder in aged rats via reducing Aβ accumulation
Application:IF

Protective effect and mechanism of docosahexaenoic acid on the cognitive function in female APP/PS1 mice
Application:WB, IF

Pharmacodynamics, Network Pharmacology, and Pharmacokinetics of Chinese Medicine Formula 9002A in the Treatment of Alzheimer's Disease
Application:WB

A16265.20ul
20 мкл
A16265.50ul
50 мкл
A16265.100ul
100 мкл
A16265.200ul
200 мкл

Этот ген кодирует рецептор клеточной поверхности и трансмембранный белок-предшественник, который расщепляется секретазами с образованием ряда пептидов. Некоторые из этих пептидов секретируются и могут связываться с ацетилтрансферазным комплексом APBB1/TIP60, способствуя активации транскрипции, в то время как другие образуют белковую основу амилоидных бляшек, обнаруживаемых в головном мозге пациентов с болезнью Альцгеймера. Кроме того, два пептида являются антимикробными пептидами, которые, как было показано, обладают бактерицидной и противогрибковой активностью. Мутации в этом гене связаны с аутосомно-доминантной болезнью Альцгеймера и цереброартериальным амилоидозом (церебральной амилоидной ангиопатией). Для этого гена были обнаружены множественные варианты транскриптов, кодирующие несколько различных изоформ.

Характеристики антител APP

  • Видовая специфичность – человек, мышь, крыса;
  • применение – WB, IF;
  • условия транспортировки, °C – +2-8;
  • условия хранения, °C – - 20 (в виде аликвот).
Вестерн-блот-анализ экстрактов клеток дикого типа (WT) и клеток с нокаутом APP (KO) 293T с использованием антитела APP (A17911) в разведении 1:1000.

Вестерн-блот анализ экстрактов клеток 293T с использованием антител АРР (A16265) в разведении 1:1000.

Вторичные антитела: HRP Goat Anti-Rabbit IgG (H+L) (AS014) в разведении 1:10000.

Лизаты/белки: 25 мкг на дорожку.

Блокирующий буфер: 3% обезжиренное сухое молоко в TBST.

Обнаружение: базовый комплект ECL (RM00020).

Время экспозиции: 90 c.

Антитела [KO Validated] APP кроличьи, поликлональные

Вестерн-блоттинг экстрактов различных клеточных линий с использованием антител АРР (A16265) в разведении 1:1000.

Вторичные антитела: HRP Goat Anti-Rabbit IgG (H+L) (AS014) в разведении 1:10000.

Лизаты/белки: 25 мкг на дорожку.

Блокирующий буфер: 3% обезжиренное сухое молоко в TBST.

Обнаружение: базовый комплект ECL (RM00020).

Время экспозиции: 90 c.

Публикации:

Suan-Zao-Ren Decoction ameliorates synaptic plasticity through inhibition of the Aβ deposition and JAK2/STAT3 signaling pathway in AD model of APP/PS1 transgenic mice.
Application:WB

Berberine ameliorates neuronal AD‐like change via activating Pi3k/PGCε pathway
Application:WB

5‐Heptadecylresorcinol, a Biomarker for Whole Grain Rye Consumption, Ameliorates Cognitive Impairments and Neuroinflammation in APP/PS1 Transgenic Mice
Application:WB

A19977.20ul
20 мкл
A19977.50ul
50 мкл
A19977.100ul
100 мкл
A19977.200ul
200 мкл

Фактор АДФ-рибозилирования 1 (ARF1) является членом семейства генов ARF человека. Члены семейства кодируют небольшие белки, связывающие гуаниновые нуклеотиды, которые стимулируют АДФ-рибозилтрансферазную активность холерного токсина и играют роль в везикулярном транспорте в качестве активаторов фосфолипазы D. Продукты генов, включая 6 белков ARF и 11 ARF-подобных белков, составляют семейство суперсемейства RAS. Белки ARF подразделяются на класс I (ARF1, ARF2 и ARF3), класс II (ARF4 и ARF5) и класс III (ARF6), и члены каждого класса имеют общую генную организацию. Белок ARF1 локализован в аппарате Гольджи и играет центральную роль в транспорте внутри Гольджи. Для этого гена было обнаружено несколько альтернативно сплайсированных вариантов транскриптов, кодирующих один и тот же белок.

Характеристики антител ARF1

  • Видовая специфичность – человек, мышь, крыса;
  • применение – WB, IF;
  • условия транспортировки, °C – +2-8;
  • условия хранения, °C – - 20 (в виде аликвот).
Вестерн-блот-анализ экстрактов нормальных (контрольных) и клеток HeLa с нокаутом ARF1 (KO) с использованием антитела ARF1 (A19977) в разведении 1:500.

Вестерн-блот-анализ экстрактов нормальных (контрольных) и клеток HeLa с нокаутом ARF1 (KO) с использованием антитела ARF1 (A19977) в разведении 1:500.

Вторичное антитело: HRP Goat Anti-Rabbit IgG (H+L) (AS014) в разведении 1:10000.

Лизаты/белки: 25 мкг на дорожку.

Блокирующий буфер: 3% обезжиренное сухое молоко в TBST.

Обнаружение: базовый комплект ECL (RM00020).

Время экспозиции: 90 c.

Ваш заказ будет обработан
в ближайшее время.
Мы пришлем уведомление, как только все будет готово. Спасибо!