Top.Mail.Ru
krsk@dia-m.ru 8 (800) 234-05-08
+7 (923) 303-01-52
Ваш регион Москва?

Вернуться назад

Антитела anti-PKM1/2 antibody, кроличьи поликлональные, Arigobio, Китай

Артикул Цена, руб. Наличие на складе Количество
ARG61996.50 50 мкл По запросу Под заказ
Артикул Цена, руб. Наличие на складе Количество
ARG61996.100 100 мкл По запросу Под заказ

Описание

Оплата и доставка

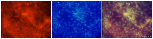
PKM2 представляет собой гликолитический фермент, который катализирует перенос фосфорильной группы от фосфоенолпирувата (ФЕП) к АДФ с образованием АТФ. Данный белок специфически сверхэкспрессируемый в раковых клетках.

Характеристики антител anti-PKM1/2 antibody

  • Видовая специфичность – человек, мышь, крыса;
  • изотип – IgG;
  • иммуноген – рекомбинантный белок PKM2 человека;
  • конъюгация – неконъюгированные;
  • концентрация, мг/мл – 1;
  • очистка – аффинная хроматография;
  • применение – ICC/IF, IHC-P, WB;
  • синонимы – PK3; PKM2; OIP3; Pyruvate kinase muscle isozyme; CTHBP; HEL-S-30; THBP1; OIP-3; Pyruvate kinase 2/3; Tumor M2-PK; Cytosolic thyroid hormone-binding protein; EC 2.7.1.40; Opa-interacting protein 3; p58; TCB; Pyruvate kinase PKM; Thyroid hormone-binding protein 1;
  • буфер для хранения – PBS (без Mg²⁺ и Ca²⁺, pH 7,4), 150 мМ NaCl, 0,02 % азида натрия и 50 % глицерина;
  • условия транспортировки, °C – +2-8;
  • условия хранения, °C – - 20 (в виде аликвот).
Раскрыть описание

Доставка

Доставка осуществляется по всей России и странам СНГ. Возможен самовывоз со склада по адресу Московская область, г. Мытищи, 7-й Ленинский переулок, д.13. Доставка по Москве и Московской области осуществляется бесплатно.

Цена товара указана со склада в Москве и не включает расходы на доставку в другие города.

Вы можете выбрать способ доставки в личном кабинете, чтобы он автоматически указывался при оформлении всех последующих заказов. При выборе варианта «Транспортная компания по выбору клиента» укажите в комментариях транспортную компанию, с которой вы предпочитаете работать.

Точная стоимость доставки рассчитывается менеджером при подтверждении заказа в зависимости от весообъемных характеристик и дальности. Товары, требующие особого температурного режима, доставляются с соблюдением требуемых условий. Если в заказе есть прекурсоры, необходимо оформить официальное письмо об отпуске прекурсоров. (образец письма об отпуске прекурсоров)


Оплата

Компания Диаэм работает с юридическими и физическими лицами. После оформления заказа продавец-консультант сформирует счет и направит его вам по электронной почте и на страницу заказа в Личном кабинете на сайте. Вы также можете сами сформировать счет из Корзины, авторизовавшись на сайте. Счет оплачивается через банк. Вы можете оплатить товар в кассе Диаэм или любом отделении банка.

Для получения товара необходимо предоставление доверенности организации, а для получения товара при оплате физическим лицом необходим паспорт.

Раскрыть анкету для отправки запроса

Похожие товары
98 922 руб.
По запросу
PA550580
Нет в наличии
PA550580ду
В наличии
70 953 руб.
СПЕЦЦЕНА
32 689 руб.
ARG51850.50
Нет в наличии
ARG51850.100
Нет в наличии
По запросу
По запросу
ARG54710.50
Нет в наличии
ARG54710.100
Нет в наличии
64 826 руб.
92 708 руб.
Ваш заказ будет обработан
в ближайшее время.
Мы пришлем уведомление, как только все будет готово. Спасибо!